First report of SAVI syndrome in Panama due to a variant of the STING1 gene in patient with emphysema and idiopathic pulmonary fibrosis

Authors
DOI:
https://doi.org/10.37980/im.journal.ggcl.20232280Keywords:
gene STING, SAVI Syndrome, hyperinflammation, interferonopathies, JakinibsAbstract
Introduction: The STING gene (Stimulator of Interferon Genes) emerges as a key element in the understanding and management of hyperinflammation and autoimmune conditions. Case: We report an adolescent patient with a history of asthma since early childhood, who after a SARS-CoV-2 infection, presented an exacerbation of respiratory symptoms, detecting emphysema, bronchiectasis and pulmonary fibrosis and in whom a pathogenic variant with gain of function of the STING gene was detected, allowing the diagnosis of SAVI (Sting-Associated Vasculopathy with onset in Infancy), which is the first case reported in Panama. Conclusions: JAK protein inhibitors and other innovative strategies constitute a therapeutic option in these cases, as well as other innovative strategies still under development, in which interferon inhibitors such as Zeatin, a cytokinin present in plants, as well as other natural products, may play a role.
Case Report
This is the first child of non-consanguineous parents of hispanic origin, with no relevant family history of pathology and a history of normal pregnancy and delivery. During the first year of life he started with episodes of bronchial hyperreactivity managed as asthma requiring frequent hospitalizations. These episodes continued to occur 2 to 3 times per year during childhood and adolescence. Neither her parents nor her two siblings have a history of asthma or allergies.
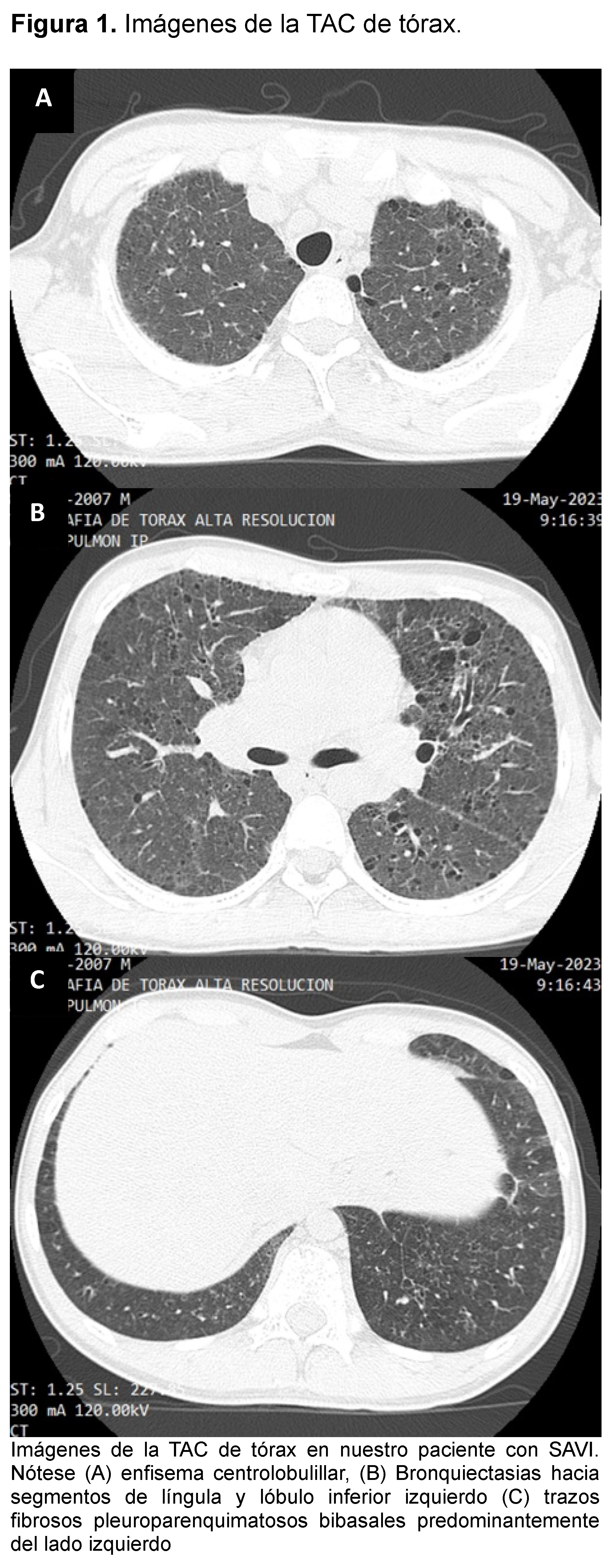
At 15 years of age, after SARS-CoV-2 infection, the frequency and severity of crises increased. Simple spirometry and post bronchodilator was indicated and resulted in severe obstruction with non-significant bronchodilator testing. A chest CT scan was performed, which revealed central acinar pulmonary emphysema, bronchiectasis in the basal middle segment of the lower lobe of the left lung, traces of fibrosis in both lung bases, predominantly on the left, and a "ground-glass lung" image (Figure 1). Bronchoscopy with bronchoalveolar lavage was performed and was negative for microorganisms. Laboratory tests with results of total IgE 1825 IU/ml, specific IgE panel for aeroallergens was negative. ANA (antinuclear antibodies) was negative as well as anti-cytoplasmic antibodies anti myeloperoxidase (MPO) and anti proteinase 3 (PR3).

These findings of structural alterations of severe emphysema and obstructive pulmonary function pattern, drew the attention of her treating physician, who suggested the need for a genetic study, considering among the differential diagnoses alpha-1 antitrypsin deficiency and cystic fibrosis.
Molecular Tests
A Whole Genome Sequencing (WGS) study with Multiomics Analysis (Centogenome ® MOx 1.0) was performed at Centogene. The procedure included fragmentation of genomic DNA enzymatically and tagging with Illumina-compatible adapter sequences. Libraries were sequenced from both ends (paired-end) on an Illumina platform to generate an average coverage depth of ~ 30x. A bioinformatics process based on Illumina's DRAGEN process as well as CENTOGENE's in-house bioinformatics process was applied.
Reads were aligned to the Genome Reference Consortium Human Build 37 (GRCh37/hg19) genome assembly, as well as to the revised Cambridge Reference Sequence (rCRS) of human mitochondrial DNA (NC_012920). Sequence variants (SNVs/indels) and copy number variants (CNVs) were called using the DRAGEN algorithm, Manta and proper. All variants with a minority allele frequency (MAF) of less than 1% in the gnomAD database, and disease-causing variants reported in HGMD®, ClinVar or the CENTOGENE Biodatabank were evaluated. Although the evaluation focused on coding exons and flanking intronic regions, the entire gene was interrogated for candidate variants with a plausible association with phenotype. All potential inheritance mode patterns were considered.
Results
A variant c.463G>A p.(Val155Met) was detected in the STING1 gene in the heterozygous state. This variant causes an amino acid change from Val to Met (valine to methionine) at position 155 (Table 1). According to HGMD Professional 2022.4, this variant has been previously described as disease-associated for STING-associated Vasculopathy with onset in Infancy (SAVI). In ClinVar this variant is listed (Interpretation: Pathogenic; Variation ID: 143862) and is classified as pathogenic (class 1) according to CENTOGENE and ACMG recommendations.

Taking into account the mutation found in the STING gene and the findings of inflammatory markers in patients with this mutation described by Liu et al [1] and Jeremiah et al [2], we performed other relevant analyses, finding elevated erythrocyte sedimentation rate (ESR), C-reactive protein (CRP) and rheumatoid factor (Table 2), while Complement C3 and C4 were normal and ANA-HEP-2 was repeated and was negative.

Discussion
Innate immunity is a very primitive cellular defense mechanism, in fact, the oldest that exists and is found to some extent in all species [3]. It is part of the organism's first line of defense and is responsible for mediating the body's response to infections by different pathogens such as viruses and bacteria, as well as combating tumor cells. On the other hand, it is also involved in the activation and modulation of acquired or cellular immunity [4,5].
The activation of these defense mechanisms is carried out by processes that are part of the signal transduction system, which consists of a set of inter- and intracellular communication tools and pathways involving different proteins and other substances of the organism that act sequentially, turning on and off briefly to transmit a signal. These pathways can interact with each other by means of common elements and very frequently have as their final destination the cell nucleus, with the purpose of provoking the expression of genes, in which the proteins that these encode constitute the desired response [6].
The STING1 gene, officially named Stimulator of Interferon response cGAMP interactor 1, whose acronym stands for "STimulator of Interferon Genes", also known by several names, including TMEM173 gene (TransMEMbrane protein 173 gene), has 8 exons, is located at 5q31.2 and produces a protein of the same name consisting of 379 amino acids. It is a protein of the Endoplasmic Reticulum that has 5 transmembrane domains and when activated it interacts structurally with other components of the system, such as Cyclic Guanosine Monophosphate-Adenosine Monophosphate (cGAMP) or Cyclic Dinucleotides (CDN - Cyclic Dinucleotides) and cGAMP Synthase (cGAS) [giving rise to the cGAS-STING pathway] (Figure 2), being able to respond to stimuli that include the presence of nucleic acids from bacteria, RNA viruses, DNA viruses, tumor cells or DNA from the cell itself (in the case of normal dying cells undergoing replacement) or from mitochondrial DNA.

Upon activation, STING relocalizes in the Golgi Apparatus, forms oligomers and triggers in turn the activation of other proteins in cascade until it reaches the nucleus and transcribes interferon genes [7,8]. Interferons constitute a group of molecules including proinflammatory agents such as cytokines and tumor necrosis factor (TNF) that are capable of attacking and hindering the reproduction of infectious agents, among other effects, thus protecting the organism. This type of stimulus mentioned for STING is due to the fact that double-stranded DNA should not normally be found in the cytoplasm of cells. When these pathogens invade cells, they carry with them their DNA or RNA (which can be translated into DNA, in the case of some viruses). The molecular detection mechanisms of double-stranded DNA are sensors that act in the cytoplasm, and are able to initiate a cascade of stereotyped events when they receive an appropriate stimulus, as part of this innate immunity.
Genes encode or have in their information the design for the cell to manufacture mainly proteins, which we could compare to molecular machines or workers at the cellular level. When genes undergo mutations, the result can be proteins with loss of function or proteins with gain of function [9]. In the case of our patient, the mutation of the STING protein gene is of the latter type, causing it to remain constantly active, without a specific stimulus, without shutting down as it normally should, or responding disproportionately to a particular stimulus. This causes the pathway that stimulates the production of interferons to remain unusually active, resulting in hyperinflammation, as if the body were under constant attack by pathogens that produce these responses, thus triggering a set of signs and symptoms that are part of the SAVI syndrome (STING-Associated Vasculopathy with onset in Infancy, or STING-associated Vasculopathy with onset in Infancy), a disorder with autosomal dominant inheritance. However, most of the reported cases correspond to de novo mutations. Because interferon genes are involved, it is part of the so-called Interferonopathies.
These constitute a group of Mendelian disorders characterized by mutation of genes involved in IFN type I (Interferon type I) signaling. A classic example, and one of the most clearly recognized entities to be part of this group of disorders is the Aicardi-Goutieres Syndrome, initially known as Pseudo-TORCH, because its complex manifestations mimicked those caused by these pathogens, due to the mechanisms triggered by the mutations present [10].
The clinical findings of SAVI Syndrome are variable and include, among the main ones, cutaneous manifestations, persistent systemic inflammation and interstitial lung disease. Other findings include failure to thrive, poor growth, nasal septal perforations (in some patients), vasculitis (mainly of the capillaries), recurrent respiratory infections, pulmonary fibrosis, macrophage alveolitis, brochiectasis, follicular hyperplasia, joint stiffness and arthralgias; other skeletal manifestations include amputations resulting from distal necrosis in the hands and feet. There may be muscular manifestations such as myalgia or myositis. Cutaneous manifestations may include ulcerations, pustules, plaques and distal violaceous nodules, erythema in the malar region or other areas, telangiectasias, scar formation, necrosis leading to amputation, livedo reticularis, Raynaud's phenomenon.
Nail manifestations include nail dystrophy and loss, as well as capillary tortuosity in the nail fold. Patients may present with fever, anemia and thrombocytosis and on the immunologic side patients may present with hypergammaglobulinemia, decreased T-cells, recurrent infections, autoantibodies, and a hyperinflammatory state with increased C-reactive protein and erythrocyte sedimentation rate (ESR) as mentioned above [11]. The symptomatic variability observed also includes varying degrees of severity and would be related to the type of mutation present, but to date there are no studies of precise genotypic-phenotypic correlations.
In our patient, who is the first case reported to date in the Republic of Panama, the V155M mutation and its manifestations are very similar to those of the patients presented by Jeremiah et al [2], with a predominance of systemic inflammatory manifestations similar to lupus (Lupus-like) and bronchopulmonary manifestations. More recently, the patient presented a cutaneous picture of violaceous lesions associated with edema and pain in the distal part of both legs, ankles and proximal area of the feet, which was managed with hydration, corticosteroids and analgesics, resolving within 5 days, in which a viral or bacterial etiology was ruled out. This event had elevated fibrinogen values (496 mg/dl) and we consider it to be part of the group of SAVI manifestations (see Figure 3). We would like to point out that our patient had a relatively stable clinical behavior, with asthmatic asthma, from his first year of life until adolescence. After a COVID-19 episode, he began to present more severe and frequent respiratory symptoms, which led to a more exhaustive evaluation with subsequent findings. This would be related to STING hyperactivation caused by the mutation and triggered by SARS CoV-2 viral infection.

V155M is the most frequently reported mutation [12,13]. Others are G166E, N154S, V147M, V147L, C206Y, R284G, R281Q, S102P-F279L, most affecting the cyclic dinucleotide binding domain (CDN) and dimerization function of STING [14]. The STING gene is expressed in almost all tissues and is highest in the lungs, bronchi, palatine tonsils, lymph nodes, endothelial (capillary) cells and spleen. This predominance of expression at the pulmonary level would explain the reason for the predominance in all patients of manifestations in this system. This gene also has a genetic polymorphism in the different populations and the variability observed would have to do with the structural alleles expressed in the patients, both in the mutated gene and in the allele of its genotypic complement [8].
It is now known that altered STING function by various mechanisms would be involved in the pathophysiology of common autoimmune diseases such as Systemic Lupus Erythematosus (SLE), rheumatic fever, psoriasis, as well as in other clinical situations such as amyotrophic lateral sclerosis, diabetic cardiomyopathy and nephropathy, non-alcoholic fatty liver disease, Irritable Bowel Syndrome (IBS) and chronic pain among others, diabetic cardiomyopathy and diabetic nephropathy, non-alcoholic fatty liver disease, Irritable Bowel Syndrome (IBS) and in chronic pain among others, and STING is being evaluated as a therapeutic target through the development of specific molecules to regulate its function [8].
In the case of patients with SAVI Syndrome, conventional treatments such as corticosteroids, anti-TNF (Tumor Necrosis Factor), intravenous immunoglobulin and anti-CD20, have proven to be very ineffective or ineffective. In contrast, the use of JAK (Janus Kinase, Janus Kinase) protein inhibitors or Jakinibs, specifically JAK 1/2 inhibitors, Ruxolitinib, and JAK 1/3 inhibitors, Tofacitinib, have been reported as effective treatments. The JAK protein, with its four subtypes, is a family of proteins that act in association with cytokine receptors such as Interleukins and is part of the JAK-STAT pathway, so the efficacy of these inhibitors has to do with the ability to prevent the excess of cytokines produced by the activation of interferon genes produced by STING from taking effect. Although these inhibitors cannot reverse the structural lung changes, they have been shown to improve respiratory symptoms and prevent the progression of lung damage. In addition, these inhibitors produce significant relief of cutaneous manifestations and a regularization of systemic inflammatory activity [12,14,15].
When studying the cGAS-STING pathway, several points of intervention by specific compounds that can inhibit it have been identified and are still under study, such as inhibitors of the cGAS catalytic site, cGAS catalytic site inhibitors, cGAS-DNA binding disruptors, competitive inhibitors of the cyclic dinucleotide binding site (CDN binding site) and STING binding disruptors, the disruptors of DNA binding to cGAS, competitive inhibitors of the cyclic dinucleotide binding site (CDN binding site) and disruptors of STING binding to the membrane of the endoplasmic reticulum, known as palmitoylation sites [17]. After proving the suppressive effect of Zeatin, present in significant quantities in Moringa oleifera, which is capable of suppressing the production of interferons in T lymphocytes [16], this cytokinin, a hormonal product present in plants, could be an important ally in this management. Other natural products that due to their proven mechanism of action on the STING pathway could be used are Panax ginseng and Radix Pseudostellariae [17] .
Acknowledgements
Thanks to Dr. Enrique A. Jimenez MD, FACC, FSCAI, Interventional Cardiologist at Overton Brooks VA Medical Center, Shreveport, Louisiana; Associate Director of the Cardiology Residency Program at Louisiana State University in Shreveport, Louisiana, for his contributions.
Ethical Aspects and Informed Consent
Confidentiality of data: The authors declare that no data on the identity of patients appear in this article and that they have followed the protocols of their work center, receiving the corresponding informed consent-assent.
Conflicts of Interest
The authors declare that there are no conflicts of interest with respect to the authorship and/or publication of this article.
Funding
The authors did not receive financial support for the publication of this article.
References
Liu Y, Jesus AA, Marrero B, Yang D, Ramsey SE, Sanchez GAM, Tenbrock K, Wittkowski H, Jones OY, Kuehn HS, Lee CR, DiMattia MA, Cowen EW, Gonzalez B, Palmer I, DiGiovanna JJ, Biancotto A, Kim H, Tsai WL, Trier AM, Huang Y, Stone DL, Hill S, Kim HJ, St Hilaire C, Gurprasad S, Plass N, Chapelle D, Horkayne-Szakaly I, Foell D, Barysenka A, Candotti F, Holland SM, Hughes JD, Mehmet H, Issekutz AC, Raffeld M, McElwee J, Fontana JR, Minniti CP, Moir S, Kastner DL, Gadina M, Steven AC, Wingfield PT, Brooks SR, Rosenzweig SD, Fleisher TA, Deng Z, Boehm M, Paller AS, Goldbach-Mansky R. Activated STING in a vascular and pulmonary syndrome. N Engl J Med. 2014 Aug 7;371(6):507-518. doi: 10.1056/NEJMoa1312625. Epub 2014 Jul 16. PMID: 25029335; PMCID: PMC4174543
Jeremiah N, Neven B, Gentili M, Callebaut I, Maschalidi S, Stolzenberg MC, Goudin N, Frémond ML, Nitschke P, Molina TJ, Blanche S, Picard C, Rice GI, Crow YJ, Manel N, Fischer A, Bader-Meunier B, Rieux-Laucat F. Inherited STING-activating mutation underlies a familial inflammatory syndrome with lupus-like manifestations. J Clin Invest. 2014 Dec;124(12):5516-20. doi: 10.1172/JCI79100. Epub 2014 Nov 17. PMID: 25401470; PMCID: PMC4348945.
Suckale, J., Sim, R.B. and Dodds, A.W. (2005), Evolution of innate immune systems. Biochem. Mol. Biol. Educ., 33: 177-183. https://doi.org/10.1002/bmb. 2005.494033032466.
Diamond, M.S., Kanneganti, TD. Innate immunity: the first line of defense against SARS-CoV-2. Nat Immunol 23, 165–176 (2022). https://doi.org/10.1038/s41590-021-01091-0
Medzhitov, R, Janeway, C. Innate Immunity. N Engl J Med 2000; 343:338-344
Handly LN, Yao J, Wollman R. Signal Transduction at the Single-Cell Level: Approaches to Study the Dynamic Nature of Signaling Networks. J Mol Biol. 2016 Sep 25;428(19):3669-82. doi: 10.1016/j.jmb.2016.07.009. Epub 2016 Jul 16. PMID: 27430597; PMCID: PMC5023475.
STING1 stimulator of interferon response cGAMP interactor 1 [Homo sapiens (human)] - Gene - NCBI [Internet]. Nih.gov. [citado el 26 de diciembre de 2023]. Disponible en: https://www.ncbi.nlm.nih.gov/gene/340061
Zhang S, Zheng R, Pan Y, Sun H. Potential Therapeutic Value of the STING Inhibitors. Molecules. 2023 Mar 31;28(7):3127. doi: 10.3390/molecules 2807 3127. PMID: 37049889; PMCID: PMC10096477.
Mair B, Konopka T, Kerzendorfer C, Sleiman K, Salic S, et al. (2016) Gain- and Loss-of-Function Mutations in the Breast Cancer Gene GATA3 Result in Differential Drug Sensitivity. PLOS Genetics 12(9): e1006279. https://doi.org/10.1371/ journal.pgen.1006279
d'Angelo DM, Di Filippo P, Breda L, Chiarelli F. Type I Interferonopathies in Children: An Overview. Front Pediatr. 2021 Mar 31;9:631329. doi: 10.3389/fped.2021.631329. PMID: 33869112; PMCID: PMC8044321.
Entry search - OMIM 615934 - OMIM [Internet]. Omim.org. [citado el 26 de diciembre de 2023]. Disponible en: https://www.omim.org/search?index=entry&start=1&limit=10&sort=score+desc%2C+prefix_sort+desc&search=OMIM+61593412] Elvan Tokgun P, Karagenc N, Karasu U, Tokgun O, Turel S, Demiray A, et al. Treatment of STING-associated vasculopathy with onset in infancy in patients carrying a novel mutation in the TMEM173 gene with the JAK3-inhibitor tofacitinib. Arch Rheumatol 2023;38(3):461-467.
Wang Y, Wang F, Zhang X. STING-associated vasculopathy with onset in infancy: a familial case series report and literature review. Ann Transl Med 2021;9(2):176. doi: 10.21037/atm-20-
Li W, Wang W, Wang W, Zhong L, Gou L, Wang C, Ma J, Quan M, Jian S, Tang X, Zhang Y, Wang L, Ma M, Song H. Janus Kinase Inhibitors in the Treatment of Type I Interferonopathies: A Case Series From a Single Center in China. Front Immunol. 2022 Mar 28;13:825367. doi: 10.3389/fimmu.2022.825367. PMID: 35418997; PMCID: PMC8995420.
Ganeva M, Petrova G, Mihailova S, Gesheva N, Nedevska M, Boyadzhiev M, Shivachev P, Stefanov S (2022) STING-associated vasculopathy with onset in infancy: the first case in Bulgaria and review of the literature, Biotechnology & Biotechnological Equipment, 36:1, 773-781, DOI: 10.1080/13102818.2022.2112909
Fathy M, Saad Eldin SM, Naseem M, Dandekar T, Othman EM. Cytokinins: Wide-Spread Signaling Hormones from Plants to Humans with High Medical Potential. Nutrients. 2022 Apr 2;14(7):1495. doi: 10.3390/nu14071495. PMID: 35406107; PMCID: PMC9003334.
Zhang J, Zhang L, Chen Y, Fang X, Li B and Mo C (2023) The role of cGAS-STING signaling in pulmonary fibrosis and its therapeutic potential. Front. Immunol. 14:1273248. doi: 10.3389/fimmu.2023.1273248
suscripcion
issnes
eISSN L 3072-9610 (English)
Information
Use of data and Privacy - Digital Adversiting
Infomedic International 2006-2025.